Search | Feedback | Contents | Deutsch
 
 
Organ of the
 

 GD — Society for Dermopharmacy

   
 
Home
Issue 2/2006
Issue 1/2006
Issue 2/2005
Issue 1/2005
Issue 1/2004
Issue 2/2003
Issue 1/2003
Issue 2/2002
Issue 1/2002
Issue 4/2001
Issue 3/2001
Issue 2/2001
Issue 1/2001
Issue 1/2000
Newsletter
 
 
More Links:
 
 
Society for
Dermopharmacy
 
 
 
 
 

 

 

Issue March 2001



Author Article
Th. Förster, C. Jassoy, D. Petersohn, K. Schlotmann und M. Waldmann-Laue
Systematic evaluation of new active substances and cosmetics


Paper on the occasion of the 4th annual meeting of the Gesellschaft für Dermopharmazie (Dermopharmacy Society) in Freiburg on 24 May 2000

Phased Test Hierarchy


In recent years, biological and medical sciences have made considerable advances. Reports appear in the press almost weekly. Some of these new methods will also be of great significance for cosmetics research or have already found their way into individual research departments in the cosmetics industry.

We can certainly regard skin models, and especially the in vitro skin-equivalent model, as worthy of inclusion among these revolutionary achievements. A skin-equivalent model is artificial skin that has been cultured in the laboratory. The structure of the artificial skin is similar to that of human skin, making it eminently suitable for cosmetics research purposes. Using skin ageing as an example, I will show how skin models can be meaningfully integrated into a test hierarchy for active substances and finished products in the cosmetics sector.

This test hierarchy involves three stages. The first is substance screening, involving fast tests on simple skin cell cultures. At this stage a large number of potential active substances are eliminated on the grounds that they are inadequately effective. In stage 2 of the test hierarchy, the new in vitro skin models are used to study cosmetic effectiveness under realistic conditions of use. In stage 3, dermatological trials are carried out with a panel of users.

Chronological and
environment-related skin-ageing
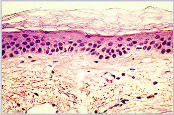
Aged skin can be recognized immediately by the presence of wrinkles, flaccidity and actinic keratosis. A histological section reveals some of the causes of these symptoms of ageing (Fig. 1 a and b).


Fig. 1a: Microscopic sections through the skin of a 21-year-old

Fig. 1b: Microscopic sections through the skin of a 66-year-old

Fig. 1 a and b
Microscopic sections through the skin of a 21-year-old and a 66-year-old


In young skin, the lower part of the skin, the dermis, has a very regular structure. This regularity is no longer so clear-cut in older skin. The dermis contains irregular structures and flaws and appears less compact. The next highest layer, the epidermis, is somewhat thinner in older skin than in younger. More noticeable than this slight change in the thickness of the epidermis, however, is the disappearance of the curvature of the epidermal-dermal interface. In older skin this interface is flat, so that the cohesion between dermis and epidermis is weaker. Finally, in the upper layer, the stratum corneum, scarcely any differences can be observed under the microscope.

The main changes are therefore in the deeper layers of the skin, especially the dermis. One of the biological causes is the major change in the collagen metabolism. Collagens are the main component of skin, accounting for around 60% of its dry substance (1). If, as a measure of synthesis activity, the mRNA of the fibroblasts of a group of young subjects is studied in comparison with that of an older group, it is found that for procollagen type I, for example, synthesis activity in the older group has decreased by approx. 60% (2). Moreover, the synthesis rate of collagenases increases (2). It thus appears that not only is less collagen synthesized with increasing age but the collagen that is present is degraded more rapidly. As a consequence of these two effects together, the collagen content decreases on average by 1% per year as we grow older (3).

Active substance screening
with fibroblast cultures

Fibroblasts can be taken from the dermis and cultivated as a simple cell system in a monolayer culture. These simple fibroblast cultures are suitable for investigating harmful influences on fibroblasts and as a simple test system for screening various cosmetic active substances with regard to their effectiveness in influencing metabolic processes.

Dermal fibroblasts are responsible for collagen production. After activation of the appropriate gene section in the cell nucleus and transcription of the information to mRNA, pro-a-chains are created in the ribosomes and then converted enzymatically to procollagen in the cytoplasm by prolylhydroxylase. Procollagen is ejected from the fibroblasts and in its turn is enzymatically modified extracellularly to tropocollagen fibers, which finally juxtapose to insoluble collagen fibers in the extracellular matrix. This complex process can be influenced by active substances at various levels. The effect of vitamin C on prolylhydroxylase is well known. Without vitamin C, collagen production comes to a standstill, which is the cause of scurvy. However, other active substances can also influence the collagen synthesis rate.


Fig 2a: Effect of various peptide extracts on cell counts of cutures of fibroblasts

Fig 2b: Effect of various peptide extracts on activation of synthesis of proteins of a culture of fibroblasts
Fig. 2:
Effect of various peptide extracts on fibroblast metabolism


Various peptide extracts were tested on 2- and 4-day-old fibroblast cultures to determine whether they promote proliferation and protein synthesis (Fig. 2).

An extremely promising soybean peptide 2 was identified from a range of different wheat, milk and soybean peptides. It caused 20% activation of the protein synthesis (4).

Fibroblast cultures are suitable for studying not only the synthesis of collagen but also certain photoageing processes. It has long been known that excessive sunbathing, in particular, causes the skin to age (5,6). When UV light falls on a dermal fibroblast it stimulates it to produce collagen-degrading enzymes known as collagenases or matrix metalloproteinases (MMPs).


Fig. 3 a: Protective action of retinyl palmitate on sunlight-induced collagenase expression in fibroblasts

Fig. 3 b: Protective action of propl gallate on sunlight-induced collagenase expression in fibroblasts

Fig. 3 a and b:

Protective action of retinyl palmitate (A) and propyl gallate (B) on sunlight-induced collagenase expression in fibroblasts

These harmful enzymes cleave collagen, the main component of the skin's connective tissue and thus cause wrinkles to form prematurely (5,6). A reduction in MMP-1 synthesis after the skin has been exposed to sunlight is thus a primary objective in the development of anti-ageing-products. An ideal anti-ageing substance is one that, even at a low concentration, inhibits the expression of collagenase MMP-1. The production of mRNA is the first and thus the most important step in the MMP-1 synthesis. Active substances that have an effect on mRNA production thus also automatically have an effect on the amount of protein and the enzyme activity of MMP-1. The quantification of the MMP-1 synthesis in sun-irradiated dermal fibroblasts was carried out by determining the amount of MMP-1 mRNA synthesized in the Northern Blot (5).

As expected, the irradiation of fibroblasts with simulated sunlight (UVA dosage of 10 J/cm2) caused strong induction of the synthesis of MMP-1 mRNA. Retinyl palmitate and antioxidants such as propyl gallate reduce the sunlight-induced expression of MMP-1 very effectively by around 80% or 50 to 75% and thus prevent photoageing of the skin.


Fig. 4: Culturing a skin-equivalent model

New testing opportunities
with in-vitro skin-equivalent models


Simple fibroblast cultures enable active substances to be screened quickly and cost-efficiently for a number of basic effects. For various reasons, however, the results obtained with this simple cell model are not directly applicable to the real in vivo situation. Simple skin cell cultures do not have a skin barrier (stratum corneum), so the active substances are made available in the culture medium. The concentration relationships are therefore completely different and are not applicable to real application situations. Moreover, only water-soluble or water-solubilized substances can be tested, but not complex cream formulations. Finally it is only possible to study one type of skin cell in this simple model, so interactions between stratum corneum, epidermis and dermis and the corresponding skin cell types cannot be taken into consideration.

The in vitro skin models open up new opportunities for avoiding all these inadequacies. By successively culturing a dermis from fibroblasts and an epidermis with stratum corneum from keratinocytes, a skin-equivalent model (Fig. 4) can be created within 5 weeks, containing all of the main skin layers (7) (Fig. 5).


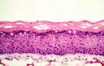
Fig. 5a


Fig. 5b

Fig. 5 a and b: Histological comparison of skin-equivalent model and normal human skin

After it has been cultured, the skin-equivalent model lives for at least another 4 weeks, during which time it remains virtually unchanged. During this time ageing experiments can be carried out, e.g., with UV irradiation or ozone, or tests of topical skin-protection or skin-care treatments. The main advantage is that, just like normal human skin, these skin models have a stratum corneum. The active substances can therefore be applied under realistic conditions in a cream or gel basis. The active substances penetrate through the stratum corneum into the skin, where they take effect.

After the soybean peptide 2 (a cytokine from the soybean plant) selected for the fibroblast experiment had been applied topically from a 10% gel formulation for 2 weeks, it was found that collagen synthesis had increased by 37% (8). In addition, this cytokine also stimulates the synthesis of hyaluronic acid, causing a small but significant increase of 3% (8) (Fig. 6). Degraded collagen and a hyaluronic acid deficit can therefore be compensated for inside aged skin.


Fig. 6:
Stimulation of collagen and hyaluronic acid synthesis by cytokine in the skin-equivalent model

After it has been cultured, the skin-equivalent model lives for at least another 4 weeks, during which time it remains virtually unchanged. During this time ageing experiments can be carried out, e.g., with UV irradiation or ozone, or tests of topical skin-protection or skin-care treatments. The main advantage is that, just like normal human skin, these skin models have a stratum corneum. The active substances can therefore be applied under realistic conditions in a cream or gel basis. The active substances penetrate through the stratum corneum into the skin, where they take effect.

After the soybean peptide 2 (a cytokine from the soybean plant) selected for the fibroblast experiment had been applied topically from a 10% gel formulation for 2 weeks, it was found that collagen synthesis had increased by 37% (8). In addition, this cytokine also stimulates the synthesis of hyaluronic acid, causing a small but significant increase of 3% (8) (Fig. 6). Degraded collagen and a hyaluronic acid deficit can therefore be compensated for inside aged skin
.

s
The stimulating effect of the cytokine on skin cells is also demonstrable in vivo. In a clinical study, 10 volunteers used a cream containing 2% of the cytokine on the zone around the corner of the eye in a half-side comparison with a placebo cream. After 2 weeks of daily treatment biopsies were taken in the course of a cosmetic operation and were biochemically analyzed to quantitatively determine collagen and glucosaminoglucan (GAG) content. After two weeks of treatment with the cream containing the cytokine the collagen content of the skin had increased by 29% and the GAG content by 20% (8). The in vitro results were therefore impressively corroborated.

Wrinkle reduction
by cytokine cream


In view of the encouraging biochemical results for collagen- and GAG stimulation by the cytokine cream, it can be asked whether this biological effectiveness also results in a reduction in wrinkles. Clearly this is of interest to consumers. In a controlled study, 30 volunteers used the cytokine cream for a period of 4 weeks. At the start and end of the study the wrinkle status of each volunteer's skin was determined by FOITS (Fast Optical In-vivo topography of the skin). The wrinkle depth (roughness depth Rz) decreased by 16% on average. The individual topographic plots clearly show the evening out of the deep wrinkles in the critical zone around the corner of the eye (Fig. 7).

The smoothing of the wrinkles after treatment with the cream can be seen clearly. As a result, in the subsequent questionnaire the volunteers rated skin smoothness (1.9), skin structure (2.2), skin suppleness (1.9) and skin tautness (2.4) very highly.

This example of the development of an anti-ageing cream containing a plant-derived cytokine as the active substance demonstrates clearly how the newly established skin-equivalent models can be used in cosmetics research to help characterize promising active substances more exactly. In particular, a comparison of the in vitro results with in vivo data shows how well the skin models simulate the natural situation. In future our skin models will certainly yield numerous biological insights into the action mechanism of both new and familiar active substances.


Fig. 7:

Wrinkle reduction after treatment with the cytokine cream

References


1. C. R. Lovell, K. A. Smolenski, V. C. Duance, N. D. Light, S. Young, M. Dyson, Type I and III Collagen Content and Fibre Distribution in Normal Human Skin during Ageing, Brit. J. Dermatol. 117 (1987) 419-428

2. J. Varani, J. R. L. Warner, M. Gharaee-Kermani, S. H. Phan, S. Kang, J. Chung, Z. Wang, S. C. Datta, G. J. Fisher, J. J. Voorhees, Vitamin A antagonizes decreased cell growth and elevated collagen-degrading matrix metalloproteinases and stimulates colllagen accumulation in naturally aged human skin, J. Invest. Dermatol. 114 (2000) 480-486

3. S. Shuster, M. M. Black, E. McVitie, The influence of age and sex on skin thickness, skin collagen and density, Brit. J. Dermatology 93 (1975), 639-643

4. C. Augustin, V. Frei, E. Perrier, A. Huc, O. Damour, An in vitro selection of new cosmetic active compounds: From screening tests on monolayered fibroblast culture to efficiency study on 3-D dermal equivalent, J. Appl. Cosmetol. 15 (1997), 1-11

5. K. Scharffetter, M. Wlaschek, A. Hogg, K. Bolsen, A. Schothorst, G. Goerz, T. Krieg, G. Plewig, UVA irradiation induces collagenase in human dermal fibroblasts in vitro and in vivo, Arch. Dermatol. Res. 283 (1991), 506-511

6. G. J. Fisher, S. C. Datta, H. S. Talwar, Z. Wang, J. Varani, S. Kang, J. J. Voorhees, Nature 379 (1996) 335-339

7. C. Augustin, C. Collombel, O. Damour, Use of in vitro dermal equivalent and skin equivalent kits for evaluating cutaneous toxicity of cosmetic products, In Vitro Toxicology 10 (1997), 23-31

8. V. Andre-Frei, E. Perrier, C. Augustin, O. Damour, P. Bordat, K. Schumann, T. Förster, M. Waldmann-Laue, A comparison of biological activities of a new soya biopeptide studied in an in vitro skin equivalent model and human volunteers, Int. J. Cosmet. Sci. 21 (1999), 299-311

top

March 2001 Copyright © 2000 - 2016 Institute for Dermopharmacy GmbH. Contact: webmaster@gd-online.de